歯のホワイトニングは、単に「歯を白くするだけ」の美容施術ではありません。
実は、第一印象・仕事の評価・写真写り・対人関係など、日常生活のさまざまな場面に大きな変化を生む医療行為です。
五反田や戸越エリアは、IT・コンサル・接客業・医療職など「人と話す機会が多い職種」が多く、目黒線を利用して通勤するビジネスパーソンも多く暮らしています。
そのためホワイトニングのニーズは年々増加しており、「歯を白くしたことで自信が持てた」「営業成績が上がった」という声も珍しくありません。
■ なぜ歯の白さだけで印象が変わるのか?
歯の色は、初対面の印象形成に強く影響する要素のひとつです。
多くの心理学研究で「人は0.1秒で第一印象を判断する」と言われており、その際の視線が集まりやすいのが“目元”と“口元”です。
特に歯の黄ばみやくすみは、以下のようなマイナスイメージを生むことがあります。
- 疲れて見える
- 老けて見える
- 不健康そうに見える
- 清潔感が不足して見える
黄ばみの原因は飲食物(コーヒー・紅茶・ワインなど)や加齢、喫煙などさまざまですが、多くの人は「歯の色=日々のケア」と認識しているため、イメージに直結しやすいのです。
一方で、白く整った歯はそれだけで好印象を生みます。
- 顔全体が明るく見える
- 肌のトーンまで上がったように見える
- 表情に透明感が出る
- 健康的・清潔な印象になる
特に五反田・戸越・不動前エリアは、オフィスワーカーから芸術系・接客業・モデル撮影など幅広い職種の方が多いため、白い歯のメリットを実感しやすいと言えます。
■ 歯が白くなると「仕事の印象」が劇的に変わる理由
五反田・戸越エリアのホワイトニング患者さんの多くが、「仕事で自信がついた」と話されます。これは単なる気分的なものではなく、心理学的にも裏付けがあります。
● ① 信頼感・清潔感が向上する
営業・接客・医療職・コンサルタントなど、人と対面する仕事では口元の印象が特に重要です。歯が白くなると、相手に「ケアが行き届いている」「誠実そう」という信頼感を与えやすくなります。
● ② プレゼンや会議で表情が明るくなる
歯の黄ばみが気になり“笑うときに手で口元を隠す”人は少なくありません。
ホワイトニング後は、自信を持って笑えるため表情が明るくなり、コミュニケーションの質が向上します。
● ③ オンライン会議でも印象が変わる
Zoomなどでは歯の色が実物以上に印象に影響します。
白い歯は画面越しでも明るく映えるため、清潔感と説得力が高まります。
● ④ 面接・転職活動でプラスに働く
第一印象が強く影響する場面では、黄ばみよりも白い歯の方が確実に好印象です。
実際「転職前にホワイトニングした」という声は増え続けています。

■ 歯が白くなると日常で起こる5つの変化
① マスクを外したときの“素顔力”が上がる
マスク生活が続いたことで、口元に自信がないという声は増えました。
ホワイトニング後は、マスクを外す場面でも堂々と笑えるようになります。
② SNSや写真写りが明らかに良くなる
証明写真、婚活写真、SNSアイコンなど、歯の白さは見栄えに直結します。
歯が白いと肌の色まで明るく見えるため、印象が大きく変わります。
③ ファッションやメイクが映える
特に女性は白い歯になるとリップカラーが映え、顔全体のコントラストが整います。
メイクの仕上がりまで良く見えるのはホワイトニングの大きなメリットです。
④ 結婚式・成人式・撮影など「特別な日」に差が出る
五反田エリアは撮影スタジオや美容関係の利用も多く、イベント前にホワイトニングする方も増えています。白い歯は“特別な日の写真映え”に欠かせません。
⑤ 異性からの印象が抜群に良くなる
多くの調査で、白い歯は「健康的」「誠実」「魅力的」と評価される傾向があります。
恋愛・婚活でもメリットが大きい要素です。
■ 歯の黄ばみの主な原因と、ホワイトニングが必要な理由
歯が黄ばむ原因は複数あります。
- コーヒー・紅茶・ワインなどによる着色
- 喫煙による変色
- 加齢によるエナメル質の摩耗
- 歯垢・歯石の付着
- もともとの歯の色
- 日常的な磨き残し
歯磨きでは落とせない“歯の内部の変色”が多いため、専門的なホワイトニングが必要になります。
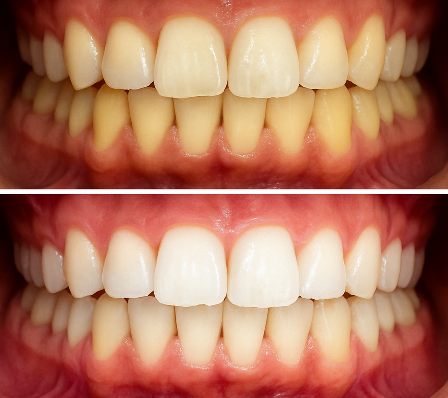
■ ホワイトニングの種類と特徴(専門的だが分かりやすく)
● オフィスホワイトニング
ホームホワイトニングで使用する薬剤よりも高濃度の薬剤を使い、即効性のある方法。
1回でも変化が出やすいため、急ぎの予定(撮影・式など)に向いています。ただし、色戻りは比較的早め。
● ホームホワイトニング
自宅で行う方法。オーダーメイドのホワイトニング用のマウスピースに薬剤(ジェル)を入れ、患者様自身で装着してホワイトニングをします。ゆっくり自然に白くなり時間がかかるものの、色戻りも少なく白さが長持ちします。
五反田・戸越で働く人で、夜遅くなる方にはホームホワイトニングがおすすめです。
● デュアルホワイトニング
オフィス+ホームの組み合わせ。
最速・高効果・長持ちをすべて兼ね備えた方法で、
「とにかくしっかり白くしたい」という方に最適です。

■ ホワイトニングの注意点(患者さんが安心できる解説)
- 一時的に知覚過敏が出ることがある
- むし歯や歯周病がある場合は先に治療が必要
- 被せ物・詰め物は白くならない
- 着色の強さによっては回数が必要
安全に行うためには、歯科医院での診査・管理が欠かせません。
■ 五反田・戸越エリアでホワイトニングを受けるメリット
① 仕事帰りに立ち寄りやすい
目黒線ユーザーが多いエリアで、アクセスが良く、忙しい方でも通いやすいのが特徴。
② カウンセリングが丁寧
“どれくらい白くしたいか”は人それぞれ。
自然な白さ〜写真映えの白さまで、目的に合わせて調整します。
③ アフターケアまで充実
知覚過敏のケア、色戻り防止の指導、日常の着色対策までフォローします。

■ まとめ:ホワイトニングは「清潔感と自信」を生む最強の自己投資
歯が白くなることで、
- 第一印象
- 仕事の評価
- 人間関係
- 写真写り
- 自己肯定感
これらが確実に変わります。
五反田・戸越エリアでお勤めの方やお住まいの方の間で、口元を明るく整えたいというご相談が増えています。
当院のホワイトニングは、痛みの出にくい薬剤を使用し、自然で透明感のある白さを目指せることが特徴です。カウンセリングから施術後のフォローまで丁寧に行い、初めての方でも安心して受けていただけます。気になる方は、ぜひ一度ご相談ください。
五反田歯科ってどんな歯医者?

品川区五反田エリアで子供に優しい歯医者さんを探しているんだけど、いいとこない?

だったら!五反田歯科がおすすめよ。
五反田で子供にも優しい、通いやすい歯医者さんをお探しですか?
でしたら、ここ!五反田歯科がおすすめですよ。
五反田歯科のプロフィール
| 名 称 | 五反田歯科 |
|---|---|
| 所在地 | 141-0031 東京都品川区西五反田 7-24-1-1F |
| 電話番号 | 03-5435-5648 |
| 設 立 | 2019年9月1日 |
| 診療内容 | 一般歯科・予防・審美・矯正・インプラント・ホワイトニング |
| スタッフ | 7名 |
| 駐車場 | 1台 |
| お支払い方法 | 現金 ※保険適用外の治療のみ以下のお支払い方法が利用可能です。 ![]() |
院長はこんな人!

五反田歯科 院長田島 功貴(Koki Tajima)
臨床研修指導医
インビザライン認定医
- 2006年 日本大学歯学部卒業
- 2007年 日本大学歯学部附属歯科病院勤務
- 2008年 医療法人社団五反田歯科勤務
- 2019年 五反田歯科開業

当クリニックでは、気になることがあればいつでも診察をお受けしております。すでに他のクリニックで治療を受けたことがあっても構いません。お気軽にご来院ください。
なお、緊急の場合はご来院前にお電話いただければスムーズにご案内できます。
五反田歯科へのアクセスは簡単!
- 所在地:141-0031 東京都品川区西五反田 7-24-1-1F
(↑クリックするとGoogleマップが開きます) - JR五反田駅徒歩 8分
- 東急池上線 大崎広小路駅 徒歩5分
- 営業時間9:30〜13:30 / 15:00〜19:30
- 電話番号:03-5435-5648
お車でお越しの方
- 専用駐車場1台ご用意しております。
- ※満車の可能性があるため、事前にお電話をいただけるようお願いいたします。
五反田駅からお越しの方
- JR五反田駅西口からTOCまで無料バスがございます。
- TOCから徒歩約1分です
電車でお越しの方
- JR山手線五反田駅から徒歩8分
- 都営浅草線五反田駅から徒歩8分
- 東急池上線大崎広小路駅から徒歩約5分
- 都営浅草線戸越駅から徒歩約10分
- 東急目黒線不動前駅から徒歩約10分
バスでお越しの方
- 東急バス大崎広小路バス停から徒歩約4分
- 反01・02川崎駅ラゾーナ広場~五反田駅
- 反11・12世田谷区民会館~五反田駅
- 渋72渋谷駅東口~五反田駅












院長
五反田歯科 院長の田島です。
当院は2020年8月にリニューアルオープンし、品川区五反田・TOCビル近くにある地域密着型の歯科医院として診療を行っています。「ちょっと聞いてみたい」「少し気になる」そんな時にも気軽に立ち寄っていただける、通いやすい歯医者さんであることを大切にしています。患者さま一人ひとりの不安や疑問に寄り添い、丁寧でわかりやすい説明と、安心できる診療を心がけています。お口のお悩みがありましたら、どうぞ遠慮なくご相談ください。