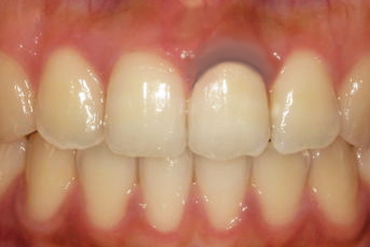
鏡を見たときに、差し歯や銀歯のまわりだけ歯ぐきが黒ずんで見える——。
「虫歯かな?」「歯ぐきが変色しているのでは?」と不安に感じる方も多いでしょう。
その黒ずみの正体は、メタルタトゥー(金属沈着)かもしれません。
メタルタトゥーは、差し歯や被せ物の金属が原因で歯ぐきが黒く変色する現象で、見た目の問題だけでなく、歯や歯ぐきの健康にも影響を及ぼす場合があります。
本記事では、メタルタトゥーの原因・特徴・放置のリスク・除去方法・再発防止策を詳しく解説します。
メタルタトゥーとは?歯ぐきに起こる金属沈着のこと
メタルタトゥー(metal tattoo)とは、差し歯や銀歯などに使用されている金属が、長期間の使用によって唾液や酸に反応し、溶け出した金属イオンが歯ぐきに沈着して黒く見える現象です。
刺青のように歯ぐきの内部に色が沈着してしまうことから「タトゥー」という名前がついています。
黒ずみの範囲は、銀歯や差し歯の歯ぐきの縁(マージン部分)に沿って現れることが多く、徐々に広がるケースもあります。
痛みはほとんどありませんが、審美面で非常に目立ちやすいのが特徴です。
なぜメタルタトゥーが起きるのか?原因を詳しく解説
メタルタトゥーの原因は「金属の溶け出し」です。
具体的には以下のようなメカニズムで進行します。
1. 金属が唾液や酸に反応して腐食する
銀歯や差し歯の金属部分(多くは金銀パラジウム合金やニッケルクロム合金)は、酸性の環境で少しずつイオン化して溶け出します。
唾液中の成分や飲食物に含まれる酸、またプラーク中の細菌の酸が影響し、金属イオンが歯ぐきに接触・吸収されます。
2. 歯ぐきの組織に金属イオンが沈着
溶け出した金属イオンは歯ぐきの中のタンパク質と結合し、黒色または灰色の沈着物として定着します。
この沈着は表面だけでなく歯ぐき内部にまで及ぶため、歯みがきでは落とすことができません。
3. 差し歯のマージンや土台金属も影響
古い差し歯や被せ物では、歯と被せ物の境目に微小なすき間が生じやすく、そこから金属が溶け出して歯ぐきに触れることで、黒ずみが生じやすくなります。
また、差し歯の金属の土台(メタルコア)が原因となる場合もあります。
メタルタトゥーを放置するとどうなる?
メタルタトゥー自体は「悪性の病変」ではありませんが、放置すると見た目の悪化や健康リスクにつながることがあります。
- 黒ずみが次第に広がる
- 歯ぐきの炎症や腫れを引き起こすことがある
- 金属アレルギーを発症するリスクが高まる
- 差し歯や銀歯の内部で劣化が進行する
特に前歯に起こると、会話や笑顔のたびに黒ずみが目立ちやすくなり、コンプレックスにつながるケースも少なくありません。
メタルタトゥーの見分け方
次のような特徴が見られる場合、メタルタトゥーの可能性が高いです。
- 差し歯や銀歯の近くの歯ぐきだけ黒またはグレーっぽい
- 痛みや腫れがなく、色だけが変わっている
- 歯みがきしても落ちない
- 色の境界が比較的はっきりしている
ただし、歯ぐきの黒ずみには歯周病やメラニン色素沈着など他の原因もあります。
確実な診断は歯科医院で行うのが安心です。
メタルタトゥーの治療・除去方法
一度沈着した金属は自然には消えません。
しかし、歯科での適切な処置により安全かつ美しく改善することができます。
1. メタルフリー素材に交換(根本治療)
最も効果的な方法は、原因となる金属の除去と素材の交換です。
被せ物や土台が金属のままだと再発の恐れがあるため、セラミックやジルコニアなどのメタルフリー素材に交換します。
メリット
- 金属の溶け出しを完全に防止
- 歯ぐきが健康的なピンク色に戻る
- 自然な透明感と白さを再現可能
費用の目安
1本あたり約 7万円〜(自費診療)
審美性を重視する場合は、オールセラミックまたはジルコニアクラウンが推奨されます。

2. レーザー治療による黒ずみ除去
沈着が歯ぐきの表面にとどまっている場合は、レーザーで表層を蒸散させる治療が有効です。
治療時間は10〜15分ほどで、痛みはほとんどありません。
1〜2週間ほどで歯ぐきの色が自然なピンク色に戻るケースもあります。
メリット
- 即効性があり、通院回数が少ない
- メスを使わないため出血が少ない
- ダウンタイムが短い
ただし、歯ぐき内部まで金属が沈着している場合は、完全に除去できないこともあります。
3. 歯ぐきの再生治療(重度の場合)
メタルタトゥーが深部まで広がっている場合、歯ぐきの表層を少し切除し、健康な組織で覆う再生処置を行うこともあります。
審美歯科や口腔外科で対応でき、他の方法で除去できないケースに有効です。
メタルタトゥーを防ぐためにできること
再発を防ぐには、そもそも金属を使わない治療を選ぶことが重要です。
- 差し歯・銀歯をセラミック素材に置き換える
- 金属コア(メタルコア)をファイバーコアに変更する
- 酸性飲料・喫煙を控え、口腔内のpHバランスを保つ
- 半年〜1年ごとの定期検診で金属部分の状態を確認する
また、見た目の改善だけでなく、金属アレルギー予防や歯周病リスク低下にもつながります。
メタルタトゥーの除去はどの歯科でできる?
一般的な保険診療の歯科では、メタルタトゥーの治療は保険適用外(自費診療)となります。
したがって、以下のような医院を選ぶのがおすすめです。
- 審美歯科・セラミック専門クリニック
- レーザー治療設備を持つ歯科医院
- メタルフリー治療の実績がある歯科医院
初診時には、「差し歯の歯ぐきが黒ずんでいる」「メタルタトゥーかもしれない」と伝えるとスムーズです。
まとめ:メタルタトゥーは除去できる。放置せず早めの相談を
差し歯や銀歯のまわりにできる歯ぐきの黒ずみ(メタルタトゥー)は、金属が溶け出して沈着することが原因です。
ブラッシングでは改善せず、放置すると黒ずみが広がったり、歯ぐきが下がったりすることもあります。
しかし、レーザー治療やメタルフリー素材への交換によって、健康的で自然な歯ぐきの色を取り戻すことは可能です。
見た目の印象を大きく変える治療でもあるため、「気になるけど放置していた」という方は、ぜひ一度歯科医院で相談してみてください。

五反田歯科ってどんな歯医者?

品川区五反田エリアで子供に優しい歯医者さんを探しているんだけど、いいとこない?

だったら!五反田歯科がおすすめよ。
五反田で子供にも優しい、通いやすい歯医者さんをお探しですか?
でしたら、ここ!五反田歯科がおすすめですよ。
五反田歯科のプロフィール
| 名 称 | 五反田歯科 |
|---|---|
| 所在地 | 141-0031 東京都品川区西五反田 7-24-1-1F |
| 電話番号 | 03-5435-5648 |
| 設 立 | 2019年9月1日 |
| 診療内容 | 一般歯科・予防・審美・矯正・インプラント・ホワイトニング |
| スタッフ | 7名 |
| 駐車場 | 1台 |
| お支払い方法 | 現金 ※保険適用外の治療のみ以下のお支払い方法が利用可能です。 ![]() |
院長はこんな人!

五反田歯科 院長田島 功貴(Koki Tajima)
臨床研修指導医
インビザライン認定医
- 2006年 日本大学歯学部卒業
- 2007年 日本大学歯学部附属歯科病院勤務
- 2008年 医療法人社団五反田歯科勤務
- 2019年 五反田歯科開業

当クリニックでは、気になることがあればいつでも診察をお受けしております。すでに他のクリニックで治療を受けたことがあっても構いません。お気軽にご来院ください。
なお、緊急の場合はご来院前にお電話いただければスムーズにご案内できます。
五反田歯科へのアクセスは簡単!
- 所在地:141-0031 東京都品川区西五反田 7-24-1-1F
(↑クリックするとGoogleマップが開きます) - JR五反田駅徒歩 8分
- 東急池上線 大崎広小路駅 徒歩5分
- 営業時間9:30〜13:30 / 15:00〜19:30
- 電話番号:03-5435-5648
お車でお越しの方
- 専用駐車場1台ご用意しております。
- ※満車の可能性があるため、事前にお電話をいただけるようお願いいたします。
五反田駅からお越しの方
- JR五反田駅西口からTOCまで無料バスがございます。
- TOCから徒歩約1分です
電車でお越しの方
- JR山手線五反田駅から徒歩8分
- 都営浅草線五反田駅から徒歩8分
- 東急池上線大崎広小路駅から徒歩約5分
- 都営浅草線戸越駅から徒歩約10分
- 東急目黒線不動前駅から徒歩約10分
バスでお越しの方
- 東急バス大崎広小路バス停から徒歩約4分
- 反01・02川崎駅ラゾーナ広場~五反田駅
- 反11・12世田谷区民会館~五反田駅
- 渋72渋谷駅東口~五反田駅













院長
五反田歯科 院長の田島です。
当院は2020年8月にリニューアルオープンし、品川区五反田・TOCビル近くにある地域密着型の歯科医院として診療を行っています。「ちょっと聞いてみたい」「少し気になる」そんな時にも気軽に立ち寄っていただける、通いやすい歯医者さんであることを大切にしています。患者さま一人ひとりの不安や疑問に寄り添い、丁寧でわかりやすい説明と、安心できる診療を心がけています。お口のお悩みがありましたら、どうぞ遠慮なくご相談ください。